• Greffe épithélio-conjonctive
  • Greffe de tissu conjonctif
  • Greffe de tissu allogène
  • Lambeau de repositionnement
  • Frénectomie, gingivectomie, gingivoplastie
  • Correction du sourire gingival ou asymétrique

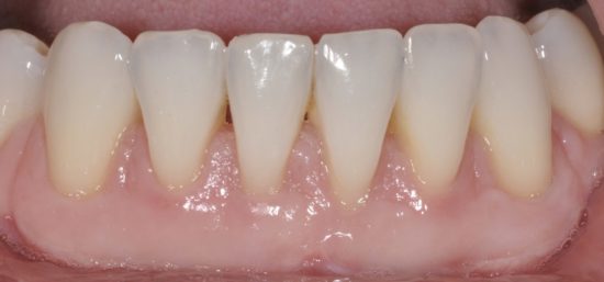
Le parodontiste est le spécialiste de choix lorsqu’il s’agit de traiter, remodeler ou même reconstruire la gencive. Les greffes de gencive comprennent un large éventail de procédures visant à corriger les défauts tissulaires (comme la récession ou déchaussement de la gencive) adjacents aux dents ou aux implants. Ces défauts doivent être corrigés s’ils compromettent la santé et l’entretien à long terme de la dent ou de l’implant. Ces procédures peuvent également être réalisées pour  couvrir une racine exposée ou encore uniformiser la gencive du point de vue esthétique.

Le parodontiste emploie plusieurs techniques chirurgicales dites plastiques et esthétiques. Ces approches sont minimalement invasives et laissent peu de cicatrices afin de maximiser les résultats et accroitre le confort postopératoire du patient. 

La vaste majorité des prélèvements sont réalisés au palais en raison de la qualité et quantité tissulaire. Ce tissu demeure le plus haut standard de qualité. Par contre, des matériaux synthétiques peuvent parfois être utilisés dans certains cas. L’examen préopératoire complet est nécessaire pour déterminer les régions où un traitement est indiqué et choisir la ou les options qui conviennent le mieux à la situation. 

Greffe de tissu conjonctif

                   

Greffe épithélio-conjonctive